MR taramaları, Alzheimer'ın erken belirtilerini saklıyor olabilir

Araştırmacılar MR taramalarının, beynin atık sistemindeki demansla bağlantılı zayıflamayı ortaya çıkarabileceğini söylüyor

(Unsplash)

Yeni bir çalışma beyindeki küçük yapılarda görülen ve MR taramalarında tespit edilebilen değişikliklerin, Alzheimer'ın erken göstergesi olma potansiyeli taşıdığını öne sürüyor.

Alzheimer'da demans gittikçe kötüleşerek hastaların hafıza kaybı, dikkat eksikliği yaşamasına ve nihayetinde günlük fonksiyonlarında gerilemeye yol açıyor.

Küresel çaptaki demans hastalarının sayısının 2030'da 78 milyona ve 2050'de 139 milyona çıkması beklenirken, erken teşhisin iyileştirilmesine acil ihtiyaç var.

fazla oku

Bu bölüm, konuyla ilgili referans noktalarını içerir. (Related Nodes field)

Dünya genelindeki bilim insanları, hastalarda semptomlar ortaya çıkmadan önce daha hızlı teşhis için daha iyi beyin tarama belirteçleri ve diğer uygun maliyetli araçlar geliştirme amacıyla zamana karşı yarışıyor. Alzheimer'ı erken aşamada tespit etmek, doktorların daha önce müdahale etmesine ve belki de semptomların ilerlemesini yavaşlatmasına imkan sağlayabilir.
 

Beyin
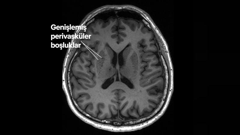
Genişlemiş perivasküler boşluklara sahip bir hastanın manyetik rezonans görüntüleme taramasında bu boşluklar, beyin merkezinin etrafındaki koyu gri bölgelerde koyu lezyonlar şeklinde görülüyor (NTU LKC Tıp Fakültesi)


Araştırmacılar MR taramalarında görülebilen, beynin tıkalı drenaj alanlarının, büyük bir beyin hasarı gerçekleşmeden önce Alzheimer'ın erken göstergeleri olabileceğini tespit etti.

Beyindeki bu doğal "drenajların" (zararlı atıkları temizlemek için yol görevi gören küçük kanallar) Alzheimer'ın erken belirtilerini gösteren kişilerde tıkanma olasılığının daha yüksek olduğunu buldular.

Hakemli dergi Neurology'de yayımlanan çalışmaya göre "genişlemiş perivasküler boşluklar" diye adlandırılan bu drenajlardaki tıkanıklıklar, demansın önemli bir erken sinyali olarak işlev görebilir.

Singapur Nanyang Teknoloji Üniversitesi'nden (NTU Singapur) nörolog Nagaendran Kandiah, "Bu beyin anomalileri, bilişsel gerilemeyi ölçmek için yapılan rutin manyetik rezonans görüntüleme (MR) taramalarında görsel yolla tespit edilebilir" diyor.

Dr. Kandiah şu ifadeleri kullanıyor: 

Bunların tespit edilmesi, ek testler yapıp para ödemek zorunda kalmadan, Alzheimer'ın daha erken teşhisinde mevcut yöntemleri tamamlayabilir.

Araştırmacılar drenaj sistemi verimsiz hale geldiğinde, bu boşlukların MR taramalarında tespit edilebilecek şekilde genişleyebileceğini söylüyor.

Çalışmada Singapur'daki çeşitli etnik gruplardan yaklaşık bin kişinin beyin taramaları incelendi ve bunların yaklaşık 350'sinin herhangi bir bilişsel problemi yoktu.

Bilim insanları bilişsel sorunlar yaşamayan bireylerin beyin tarama verilerini, düşünme güçlüğü çeken kişilerinkiyle karşılaştırdı.

Çalışmada hafif bilişsel bozukluk yaşayanların, diğer katılımcılara kıyasla beyinlerinde tıkanmış kanallar veya genişlemiş perivasküler boşluklar olduğu saptandı.

Araştırmacılar ayrıca katılımcıların kanındaki, hastalıkla bağlantılı olduğu bilinen beta amiloid ve tau proteinleri gibi Alzheimer'ın kan belirteçlerini de ölçtü.

Beyindeki tıkanmış kanalların, amiloid plakları ve tau yumakları da dahil, 7 kan molekülünden 4'üyle bağlantılı olduğu bulundu.

Çalışmada yer almayan yaşlılık hekimliği uzmanı Rachel Cheong Chin Yee, "Bu bulgular önemli çünkü genişlemiş perivasküler boşluklar görülen beyin taramalarının, semptomlar ortaya çıkmadan önce bile Alzheimer hastalığı riski yüksek kişileri belirlemeye katkı sağlayabileceğini gösteriyor" diyor.

Bilim insanları çalışma katılımcıları üzerinde takip değerlendirmeleri yaparak kaçının daha sonra Alzheimer hastalığına yakalandığını kontrol etmek ve genişlemiş perivasküler boşlukların, demans görülme olasılığı daha yüksek kişileri öngörmeyi sağladığını doğrulamak istiyor.



*İçerik orijinal haline bağlı kalınarak çevrilmiştir. Independent Türkçe'nin editöryal politikasını yansıtmayabilir.

independent.co.uk/news

Independent Türkçe için çeviren: Büşra Ağaç

© The Independent

DAHA FAZLA HABER OKU