ÇEVİRİ Yaşam ABD'de çocuklarına kanser bağışı toplayan çift, dolandırıcı çıktı Edward Downing ve Stephanie Skeris, birden fazla dolandırıcılık ve çocuk ihmali davasıyla karşı karşıya Sigaradan alınan DNA, 44 yıl sonra katili ortaya çıkardı Business class'ta hırsızlık yapan yolcu 20 ay hapis cezası aldı Kurye kılığına giren hırsız 11 milyon dolarlık kripto para çaldı
Dünya Prens Talal, Kral ve Kraliçe adına, Kral Hüseyin Kanser Araştırmaları Ödülü'nün kazananlarını onurlandırdı
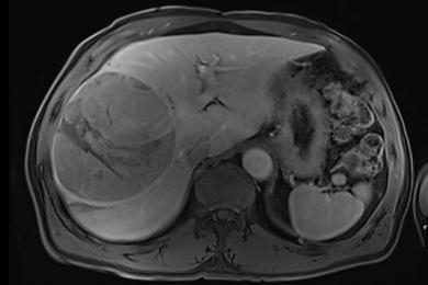
ÇEVİRİ SAĞLIK Gençlerdeki sindirim sistemi kanserlerinde çarpıcı artış Erken yaşta ortaya çıkan gastrointestinal kanserler arasında ABD birinciliğini, kolon veya rektumda gelişen kalınbağırsak kanseri 2022'de aldı X ve Y kuşakları, nadir görülen kansere yakalanıyor Kanser vakalarının kadınlara ve gençlere doğru kaydığı tespit edildi
ÇEVİRİ SAĞLIK Kansere dair 7 önemli soru Uzmanlar merak edilenleri yanıtladı Meme kanseri tümörlerini tek dozda temizleyebilecek tedavi geliştirildi Kanser vakalarının kadınlara ve gençlere doğru kaydığı tespit edildi Gençlerde bağırsak kanseri vakaları niye artıyor?